优化了肺和肝SBRT的DCAT

案例:近几十年来,调强放射治疗(IMRT)的引入和广泛使用改善了许多病例的辐射剂量传递,使健康器官得以更好地保留,并使肿瘤获得更高剂量。

概述

但是,对于运动的靶体(例如呼吸运动),MLC叶的运动与靶体之间的相互作用是IMRT技术特别关注的问题,特别是与立体定向体辐射治疗(SBRT)中使用的消融剂量相结合时。相互作用可能导致目标体积剂量不足或周围健康组织剂量过大。最近,在某些SBRT治疗中使用动态适形弧疗法(DCAT)重新引起了人们的兴趣。DCAT减少了亚体积辐照的问题,因为场孔径是动态变化的,以包括目标体在每个门柱角度的完整投影。有人提出,DCAT与SBRT联合使用可以缩短治疗时间,减少mlc -靶运动相互作用。但是,传统的DCAT不能提供与体积调制弧治疗(VMAT)相同水平的计划质量。

传统的DCAT使用恒定的剂量率,这可能导致剂量分布低于VMAT。到目标的距离越近,剂量越高。这一点对于偏离中轴的目标尤其明显。

为了克服这一挑战,Monaco®治疗计划系统(版本5.1及以上)具有DCAT的可变剂量率(VDR)功能。VDR通过允许在任何给定的门柱角度上提供更多或更少的剂量来优化DCAT的传递。摩纳哥改变了段剂量率或龙门速度,以补偿波束与目标的差异,这使剂量沉积均匀,并产生更适形的剂量分布。

此外,摩纳哥DCAT的节段形状优化(SSO)功能优化了束的重量和形状,以增强危险器官(OAR)的保留和剂量一致性。该功能允许用户输入目标、约束条件和优化参数,以便规划系统计算出满足这些目标的最佳计划。它通过平滑和聚类DCAT弧线控制点,并根据光束路径中桨叶的位置和优化优先级,将或多或少的剂量分配到每个段。

本病例报告19例肺和肝SBRT患者。

处方

本回顾性研究选取了19例既往用SBRT治疗肺部(n=15)和肝脏(n=4)病变的患者。使用摩纳哥治疗计划系统(5.1版本)优化每个患者的两个SBRT计划,一个使用VMAT,一个使用优化的DCAT。该方案是为Versa HD™创建的,在两个225度弧线中提供6 MV FFF光子束。

表1给出了一个实例方案优化过程中使用的目标函数。

客观的名字 目标函数 目标参数
PTV 目标的惩罚 99%的剂量
PTV + 4 cm 二次过量 50% Rx剂量距PTV 1.2 cm, RMS为5 cGy
肋骨 串行 30 Gy
身体 最大剂量 剂量的130%

技术

两种方案(一种VMAT,一种DCAT)对每个患者进行优化,使用两个225°弧线和相同的PTV/OAR目标。

为了比较两种方案,优化后的DCAT和VMAT,考虑了以下参数:

  • MU数量(与治疗时间相关)
  • 符合性:PTV体积与100%等剂量体积(PTVr)的比值
  • 衰减:PTV体积与50%等剂量体积之比(R50)

关于QA,使用Scandidos Delta4假体进行患者特异性QA, gamma指数标准为2%和2mm。

设备:Versa HD和摩纳哥5.1

指标

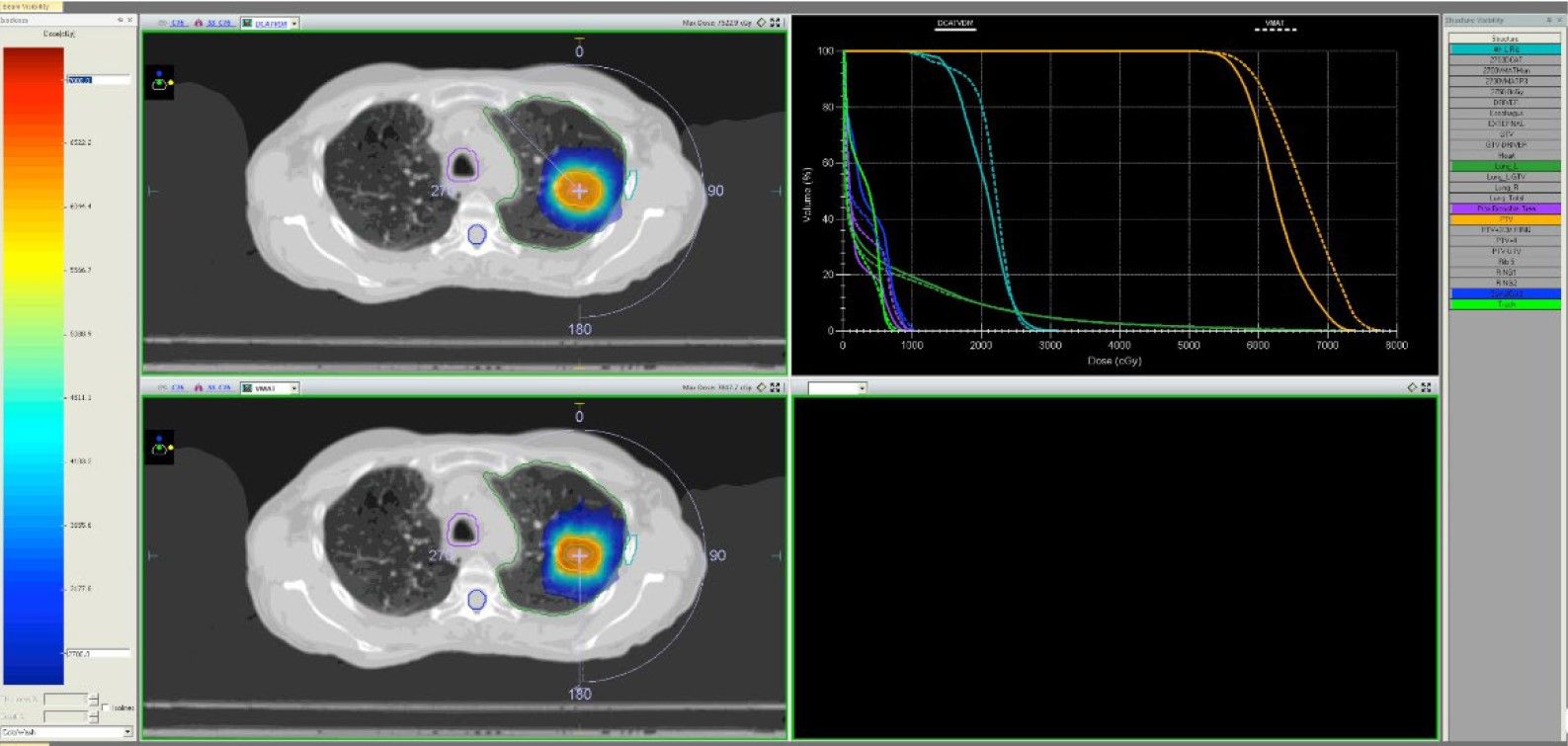
图显示了优化后的DCAT(上)和VMAT(下)等剂量分布之间的比较,显示了可比较的计划质量(图1)。

图1
图2 &3:肺部SBRT病例(左)和肝脏SBRT病例(右)的优化DCAT(上)和VMAT(下)等剂量分布和剂量体积直方图(VMAT:实线,DCAT:虚线)的比较。

图2

技术规划意见

VMAT和优化后的DCAT方案均达到了规划目标。虽然VMAT计划的目标覆盖率略好(VMAT平均PTVr = 1.3;DCAT平均PTVr = 1.4),这没有显示出统计学意义。同样,VMAT和DCAT的平均R50值非常接近(分别为4.5和4.6)。

总体而言,当桨叶重叠或接近PTV体积时,优化后的DCAT计划的质量低于VMAT计划,但当目标远离桨叶时,优化后的DCAT计划的质量与VMAT计划相当或更好。

与VMAT计划相比,优化DCAT计划中MU的平均数量减少了2.5倍(表2)。

VMAT 优化DCAT VMAT: DCAT比
平均亩 达到5548 2277年。9 2.52
标准偏差 2077年。9 991.1 1.0
范围 1647 - 8062 948 - 3955

所有VMAT和DCAT计划都是在静态IMRT QA幻影上准确交付的,并且具有优异的gamma指数通过率,95%的评估点在gamma指数标准内。

使用DCAT,光束孔径几乎总是打开,以覆盖整个PTV,因此与VMAT和静态IMRT传输相比,每分数的MU降低了。由于MU的数量与交付时间相关,我们已经证明优化后的DCAT肺和肝SBRT计划的交付速度比VMAT计划平均快2.5倍,且计划质量大体相似。改变剂量率和龙门速度的能力,与SSO备用桨桨的能力相结合,使优化的DCAT能够提供与VMAT计划相当的高适形剂量覆盖。另外,由于DCAT方案从本质上产生了更均匀的输送通量,而且MLC叶片在输送过程中不会阻塞PTV, MLC运动和PTV运动之间的相互作用被最小化。

基于本研究结果,肺和肝脏SBRT患者的简单球形病变不接近桨叶,是优化DCAT的理想候选人。在我们的机构,这意味着通常使用VMAT治疗的40 - 60%的SBRT患者可以使用优化的DCAT更有效地治疗,同时保持计划质量。

这些患者可以明显受益于较短的治疗时间,这更容易容忍和减少碎片内运动的风险。VMAT仍然是OAR(如肺病例中的肋骨或心脏,或肝病例中的胃)非常接近或重叠PTV的首选方案。

在本研究中,平均DCAT MU约为2300,使用6 MV FFF波束(1200 MU/ min)传输两段弧所需时间不到2分钟。优化后的DCAT治疗时间较短,有利于深吸气屏气(DIBH)技术。DIBH可以减少ITV和PTV的体积,改善健康组织的保留,从而进一步使患者受益。

综上所述,优化后的DCAT为肺和肝SBRT患者提供了更快的治疗,同时总体上保持了方案质量。

报告

“肺和肝SBRT患者的简单球形病变不接近桨叶,是优化DCAT的理想候选人。”
Sotiri Stathakis博士,美国圣安东尼奥德克萨斯大学卫生学院